稲毛デンタルクリニック

審美治療

esthetic

審美治療とは?

審美治療とは?

審美治療は、見た目の美しさも兼ね備えた歯科治療について追求する分野です。ひと昔の歯科治療は、「悪いところを治す」ことを第一とする考え方でしたが、現在では治療に見た目の美しさもプラスという患者様のニーズに答えるべく、様々な審美的な治療が存在します。 モデルや有名人の方など、常日ごろから人に見られる仕事の場合、審美治療を受けている方も多くいらっしゃいますが、近年では一般の方たちにも当たり前の治療となりつつあります。 また、歯並びを良くすることも審美治療分野の一つですが、歯並びが良くなると、見た目だけでなく使いやすくむし歯になりにくいといった機能面も向上するのです。 白く美しい歯を手に入れるための審美治療を、当院では豊富に取りそろえています。まずは専門の歯科医師にご相談ください。

審美治療メニュー

オールセラミック

セラミック(陶器)は、日本の古伊万里が何百年たっても白さを失わないように、美しい見た目を長い間保つ素材として有名です。 セラミックで作られた被せ物や義歯は、天然歯に近い美しさを実現します。

当院のセラミックは、患者様ひとりひとりに合わせたオーダーメイド。歯科技工士が患者様の歯の色味などを丁寧に確認し、高品質なものを作製いたします。

 

リスク・デメリット 天然の歯より硬いため、周囲の歯や咬み合う歯を痛めることがある
治療回数

3回

1回目で歯を削り必要な歯型取り、 そして2回目でセラミックを装着し、 3回目で咬み合わせなどを調整。

治療期間 2~4週間

ハイブリッドセラミック

セラミックとプラスティックを掛け合わせた素材の義歯です。セラミックは割れやすいという欠点がありますが、プラスティックを混ぜ合わせることで、見た目の美しさとある程度の耐久性を確保することができます。奥歯の詰め物に適切な素材です。

リスク・デメリット レジンが混ざっていることで、長年使用すると変色が起こる。
治療回数

2回程度の通院で治療を済ませられる。

治療期間 2~4週間

メタルボンド

メタルボンドは、金属の表面をセラミック素材で覆った被せ物です。オールセラミックよりも割れにくく、ブリッジの被せ物や歯周病でぐらついた歯を連結・固定する際の素材として適切です。
当院のメタルボンドは、裏側の金属部分が見えないよう、細心の注意を払って製作しております。

リスク・デメリット 経年により歯茎が下がり、歯と歯茎の境目が見えてくることがある。
治療回数

2~3回の通院が必要となります。

治療期間 2~4週間

ラミネートベニア

歯の表面を薄く削り(0.5~1.0mm程度)1mm厚のセラミックの板を付け爪のように貼りつける技法です。前歯など人に見られることの多い部分の歯に施す方が多く、犬歯から犬歯まで5本程度に施す方が最も多くいらっしゃいます。
歯を抜くことなく治療できるため、前歯の色が気になる方や、ホワイトニングの効果が思うように出ない方などにおすすめしています。

リスク・デメリット ・健康な歯を削る必要がある。
・割れたり欠けたりすると、全てやりかえる必要がある。
治療回数

通院回数が2、3回程度あります。

治療期間 2~3週間

審美義歯(入れ歯/エステショット)

金属のバネがなく、見た目が綺麗で咬みやすい義歯を作製いたします。これまで「金属が痛い」「咬みにくい」と入れ歯にご不満のあるかたは、一度当院へお越しください。当院内には技巧所を設けているため、患者様に適切な入れ歯を作製いたします。

リスク・デメリット ・強度はそこまで高くないので、咬み合わせによっては壊れやすいです
・樹脂性のため柔らかさがあり、経年的に入れ歯の維持する力が緩くなる
・壊れた時の修理、調整が難しいです
治療回数

通院回数が2、3回程度あります。

治療期間 2~3週間

ピーリング

黒ずんでしまった歯茎を、薬液を用いて自然なピンク色へと戻す治療法です。タバコを吸う方や、口で呼吸をする方など、色素が沈着しやすくなっている方に特におすすめです。
歯茎の色がピンクになるだけでも、口元の印象が明るくなり、清潔感を与えることができます。

リスク・デメリッ ・赤み
・色素沈着
・やり過ぎると逆効果
・傷や肌荒れ中は刺激が強い
・直後は乾燥しやすくなる
・直後は紫外線のダメージを受けやすい
治療回数

通院回数が6回程度あります。

治療期間 3ヶ月

ホワイトニング

薬液を使用し、歯の色を白く明るくします。ホワイトニングは、専用のマウスピースを作成し、ご自宅でマウスピースに薬液を入れて行う「ホームホワイトニング」と、歯科医院で施術する「オフィスホワイトニング」の二種類。ホームホワイトニングは、徐々に歯を白くするため効果が実感できるまでの期間が長くなりますが、歯の白さが長く続きます。反面オフィスホワイトニングは、専門の歯科衛生士が施術を行うため、理想的な白さを出しやすく、即効性があります。ただし、日々の生活習慣で徐々に色戻りを起こすため、持続性はホームホワイトニングよりも若干短いといえるでしょう。
ブライダルなど、ここ一番のときはオフィスホワイトニングを。人と接する仕事で、常に歯を白く保ちたい方はホームホワイトニングと、使い分けることをおすすめします。

メリット・デメリット [メリット]
・短期間でホワイトニング効果を感じられる
・ホワイトニング効果が長続きする
・ホワイトニング後の色戻りが起きにくい
[デメリット]
・費用が高額になる
・知覚過敏が起きやすい
治療回数

通院回数が3回程度あります。

治療期間 1~3ヶ月 1回あたり60~90分

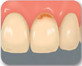
白い歯の詰め物「コンポジットレジン(CR)修復」について

コンポジットレジン(CR)とは、虫歯治療や歯の修復に用いられる歯科用樹脂(レジン)素材で、**見た目が自然な「白い詰め物」**として人気があります。以前は主に前歯や奥歯の根元など、小さな虫歯の治療に使われていましたが、近年では素材の耐久性・接着力の向上により、奥歯のかむ面にも対応可能となりました。

このCR修復の最大のメリットは、
• 歯の色に近い自然な仕上がり(審美性)
• 最小限の切削で歯を多く残せる
• 型取り不要で、治療回数が少なく済む
という点です。
一方で、CRには経年劣化による変色や、大きな虫歯や広範囲の欠損には不向きといった注意点もあります。とはいえ、**「目立たない歯の詰め物」や「できるだけ削らない虫歯の治療法」**をお探しの方には、非常に適した選択肢です。

① 処置前

① 処置前

② 切削後

① 処置前

③ CR充填

① 処置前

④ 治療後

① 処置前

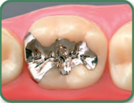
虫歯治療における「インレー修復」について

インレー修復は、虫歯や欠けた部分に対して行う部分的な詰め物治療で、金属やセラミックといった素材を使用します。**「奥歯の詰め物」「虫歯の進行が大きい場合の治療法」**として用いられることが多い治療です。

インレーは、CR修復と異なり、以下のような手順で進めます。
• 虫歯部分を削り、形を整える
• 型取りを行い、模型を作成
• 技工所でインレー(詰め物)を製作
• 後日、完成品を装着して仕上げ
この治療法は、歯と歯の間に広がる虫歯や、大きな欠損があるケースでも対応しやすく、フィット感や耐久性に優れた仕上がりが期待できます。デメリットとしては、CRよりも削る量が多くなることや、通院回数が増える場合がある点が挙げられます。 患者さま一人ひとりのお口の状態に合わせて、**「白い詰め物がいいか」「セラミックインレーの方が適しているか」**など、最適な選択をサポートいたします。虫歯の治療法でお悩みの方は、ぜひご相談ください。

① 形を整え終えた状態
① 形を整え終えた状態
② メタルインレーを装着した状態

② メタルインレーを装着した状態

① 形を整え終えた状態
① 形を整え終えた状態
② セラミックインレーを装着した状態

② セラミックインレーを装着した状態

*インレーの材料はこれ以外にもいくつかあります。詳細は別ページで記載しておりますのでそちらを参考にしてください。

pagetop